Straighten Your Smile with Invisalign® at East Credit Dental
A clear, comfortable, and convenient way to achieve the smile you’ve always wanted — without metal braces.
Invisalign in Mississauga – Clear Aligners for Confident Smiles
At East Credit Dental, we offer Invisalign® clear aligners to help you straighten your teeth without the discomfort or appearance of metal braces. Our custom-made aligners are nearly invisible, removable, and designed to fit easily into your lifestyle.
Types of Teeth Misalignment Invisalign Treats


Underbite
Lower front teeth are in front of your upper teeth when mouth is closed.


Overbite


Open Bite


Crowded Teeth
Crowded teeth occur when there’s not enough space in the jaw.


Crossbite


Gap Teeth


Benefits of Invisalign
- Discreet Appearance - Clear aligners are nearly invisible, letting you smile with confidence.
- Comfort – Smooth plastic design ensures comfort, free from metal irritation.
- Removable – Easily remove aligners for eating, drinking, brushing, and flossing, making oral hygiene simple.
- Fewer Office Visits – Requires fewer trips to the orthodontist with multiple aligner sets at once.
- Predictable Results – Advanced 3D scanning lets you preview your smile before treatment.
- Improved Oral Health – Straighter teeth are easier to clean, reducing the risks of cavities and gum disease.
The Invisalign Treatment Process


Step 1 – Assessment
The Invisalign treatment process begins with a consultation where Dr. John Inigo will assess your teeth and discuss your treatment goals. If Invisalign is right for you, we’ll take digital impressions of your teeth using advanced 3D scanning technology, creating a custom treatment plan.


Step 2 – Treatment Plan


Step 3 – Fitting & Monitoring
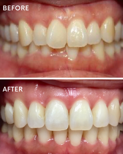
See the Difference: Stunning Invisalign Transformations!

















