Enhance your smile with Porcelain Veneers in Mississauga– a durable, natural-looking solution for chipped, stained, or uneven teeth. Achieve the perfect smile you’ve always wanted!


Transforming Smiles and Boosting Confidence at Mississauga
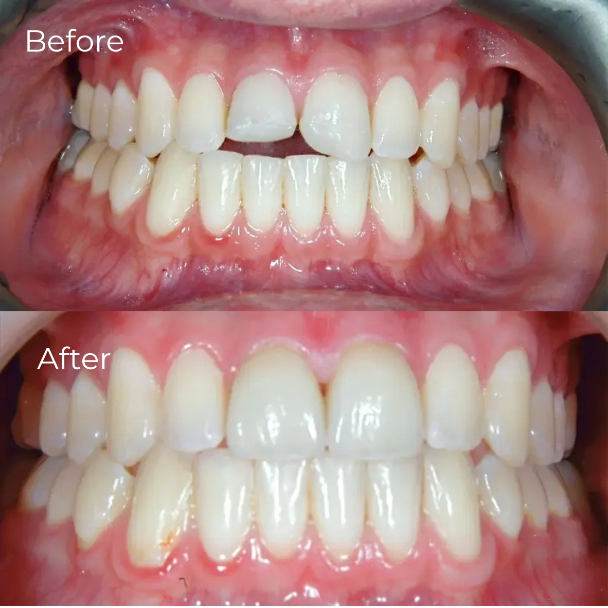
Your smile greatly influences your self-confidence, and veneers offer a powerful way to transform it. Porcelain veneers are thin, durable shells custom-made to enhance the shape and color of your natural teeth. They blend seamlessly with your smile for a natural, uniform appearance. At East Credit Dental our skilled team uses high-quality materials and advanced technology. We’re committed to delivering a comfortable experience and helping you achieve the radiant smile you’ve always wanted.
Who Is a Candidate for Porcelain Veneers?


- Minor crookedness or chips
- Slightly misshapen teeth
- Severe discoloration or stains
- Teeth that are too small or large
- Unwanted or uneven space
- Worn-down enamel
Our Streamlined Veneer Process
We will begin your dental veneer treatment with an in-depth consultation. During this session, our team will meticulously assess your teeth to determine whether veneers are your ideal solution. Should you opt to move forward with veneers, the next phase begins. We will delicately remove a thin layer of enamel from the front surface of your teeth. Then, we will take impressions for the tailored customization of your veneers to harmonize with your unique smile.
Sometimes, temporary veneers may be placed while the permanent versions are prepared. The final stage brings you to our office in Mississauga to place your permanent porcelain veneers. Our top priority is to ensure your veneers provide comfort, a natural appearance, and alignment with your smile goals. We conduct a dry run to ensure the precise positioning and then securely cement the porcelain veneers to your teeth, culminating in a beautifully enhanced smile.


The Benefits of Porcelain Veneers
- Enhanced smile aesthetics with natural-looking results
- Correction of teeth imperfections such as stains, chips, or gaps
- Durable and long-lasting porcelain material
- Minimal alteration of natural teeth structure
- Stain-resistant properties for enduring brightness
- Customized to blend seamlessly with your natural teeth
- Boosted self-confidence and improved overall appearance


Enjoy Your Custom-Made Smile Without Breaking the Bank
Affording porcelain veneers at East Credit Dental is easier than ever with our flexible financing options. We understand that investing in your smile is important, so we offer various financing plans to help spread the cost of veneer treatment over manageable installments.
We work with various third-party financing companies to maximize your coverage for cosmetic procedures like veneers. Our team is dedicated to assisting you in finding a solution that fits your budget while ensuring you receive the smile transformation you deserve!
Complete this short smile Evaluation and receive the following:




- If you're a good candidate for veneers
- Pricing and options for treatment
- A FREE Digital Smile Design to show you what you will look like with your new veneers!
- And best of all... a time to speak directly with Dr.John Inigo. Top Cosmetic Dentists in IL!